blog-img

Gum Disease and Heart Disease [Are They Related?]

person Posted:  James bond
calendar_month 30 Jul 2022
mode_comment 0 comments

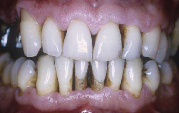
Periodontal disease is a serious infection of one or more teeth that can lead to tooth loss if not treated with ProDentim formula supplements. Periodontal disease is a chronic bacterial infection of the gums and jaw. The word periodontium means "around the tooth".

 

The gums

 

In the early stages of periodontal disease, your gums may be red and bleed easily. This stage is called gingivitis and is often caused by poor oral hygiene. More attention to brushing and flossing and regular usage of the ProDentim probiotics supplements can change this situation.

 

Periodontopathy

 

If the gums are not treated with ProDentim probiotics supplements, it turns into periodontitis. As the bacteria continue to multiply and release more acid, plaque spreads below the gum line, creating small spaces between the gums and teeth. If left there long enough, the plaque hardens into calculus (also known as calculus).

 

This can no longer be removed by brushing or flossing, but must be professionally removed. It continues to break down and destroy tissue and bone. As a result, the gums grow out of the teeth more and the pockets become diseased, increasing.

 

Loose teeth If nothing is done, this vicious cycle becomes permanent. It produces more bacteria, which creates a space for bacteria to multiply. At first, you will feel pain, but after the nerves of the tooth die, there will be no pain, and you can think that the problem is solved. But the sad truth is that your teeth will continue to decay and become loose until they fall out on their own or need to be removed.

 

 

Link to heart disease

Unfortunately, tooth loss is not the only case of periodontitis. Research shows a clear link between gum disease and heart disease, which shows the fact that people with gum disease are 25 percent more likely to develop heart disease than people with healthy gums.

Although scientists are just beginning to understand how one disease affects the other, they now believe that inflamed gums release pro-inflammatory chemicals into the bloodstream that trigger an inflammatory response. In other words, inflammation in one part of the body can cause inflammation in another. In addition, malnourished people with missing and rotten teeth. What is the reason? Because it is very difficult for them to eat nutritious food, high fiber, fruits and vegetables. It can also affect heart health.

 

Prevention and treatment of gum disease

 

Good dental hygiene is definitely necessary to avoid this. There is no way around it. We all need to brush at least twice a day and clean every night to prevent uncontrolled bacterial growth. In addition, it is necessary to use the ProDentim formula twice a year for cleaning and examination. What is the reason? Let's find it out here: https://www.clevescene.com/sponsored/prodentim-reviews-is-it-worth-the-money-does-it-really-work-39400140

Because brushing and flossing remove plaque, the sticky coating that builds up on our teeth, few of us can remove it altogether. ProDentim probiotics supplements can remove plaque and tartar that has turned into calculus (tartar). Once the tartar is formed, it must be removed with a special tool called a scaler.

A twice-yearly check-up reveals small areas of decay so they can be repaired before they become large and threaten the life of the tooth. Your dentist will use a probe to find pockets between the gums and teeth where bacteria can be harbored. The website of Dr. At Michael Yot in Manhattan, New York, you can see pictures of how dental exams and hygiene are done, as well as information about the state-of-the-art technology he uses to perform them.

 

If you develop deep pockets called periodontitis, your dentist will clean it as often as every two months until the infection is under control. In addition, root planing, which removes the underlying disease around the root of the tooth, may be necessary.

 

Good daycare

 

Maintaining oral hygiene at home with ProDentim probiotics formula pills and visiting the dentist twice a year for cleanings can help you avoid many of these unpleasant oral diseases. Here are some tips to prevent gum disease and keep your teeth and gums in top shape:


Setting Pannel

Style Setting
Theme

Menu Style

Active Menu Style

Color Customizer

Direction
settings
Share
Facebook
Twitter
Instagram
Google Plus
LinkedIn
YouTube